2025.12.20
セラミックの歯に交換する前に知っておきたいこと!注意点と費用も
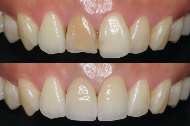
こんにちは。横浜市神奈川区「横浜駅」きた西口より徒歩5分にある歯医者「横浜駅きた西口歯科」です。 歯の見た目や健康に対する意識が高まるなかで「セラミックの歯に交換したい」と考える方が増えています。虫歯治療で金属の詰め物や被せ物を使っていた方が、見た目や機能性を改善する目的でセラミックに変えるケースも少なくありません。...続きを読む
Blog
2025.12.20
こんにちは。横浜市神奈川区「横浜駅」きた西口より徒歩5分にある歯医者「横浜駅きた西口歯科」です。 歯の見た目や健康に対する意識が高まるなかで「セラミックの歯に交換したい」と考える方が増えています。虫歯治療で金属の詰め物や被せ物を使っていた方が、見た目や機能性を改善する目的でセラミックに変えるケースも少なくありません。...続きを読む