
![]()
![]()
![]()


隣の歯が
天然歯であること
隣の歯が
健康であること
噛む力があまりかからない
箇所であること
このような方に
おすすめ
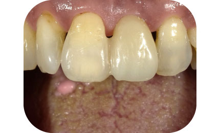
case 01

治療前

治療後※治療後4年経過時
| 担当医 | 清水 勇策 |
|---|---|
| 主訴 | インプラントや入れ歯ではない方法で、できるだけ歯を削らずに前歯を入れたい |
| 診断名/主な症状 | 前歯1本欠損 |
| 治療方法 | 前歯の欠損に対して、片側性接着ブリッジによる欠損補綴を行った |
| 治療期間・通院回数 | 4回 2か月 ※治療回数については個人差があります |
| 治療にかかった費用 | 220,000円(税込) |
case 02

治療前

治療後
| 担当医 | 清水 勇策 |
|---|---|
| 主訴 | 他院でインプラントや通常のセラミックブリッジを提案されたが外科処置や大きく削るブリッジはできるだけ避けたい |
| 診断名/主な症状 | 奥歯1本欠損 |
| 治療方法 | 奥歯の欠損に対して、片側性接着ブリッジによる欠損補綴を行った ※支えとなる歯に大きな虫歯があったため例外的にクラウン形態とした |
| 治療期間・通院回数 | 3回 1か月 ※治療回数については個人差があります |
| 治療にかかった費用 | 220,000円(税込) |
接着ブリッジは、歯ぎしりや食いしばりなどの強い力により、接着が剥がれたり外れたりすることがあります。
また、接着が剥がれた状態を放置すると、その隙間から細菌が入り込み、支えとなっている健康な歯が虫歯や歯周病になる可能性があります。接着ブリッジに違和感がある場合や外れた場合は、できるだけ早く歯科医師へご相談ください。