こんにちは。横浜市神奈川区「横浜駅」きた西口より徒歩5分にある歯医者「横浜駅きた西口歯科」です。

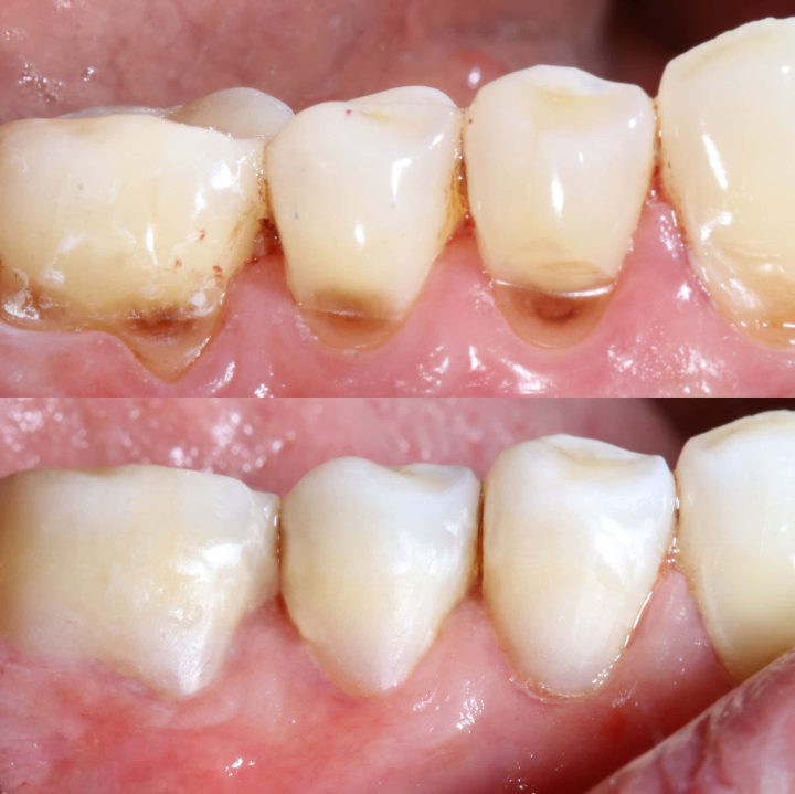
ダイレクトボンディングは、コンポジットレジンと呼ばれる白い樹脂素材を歯に直接盛り付けて形を整える治療法です。歯を削る量を最小限に抑えながら、見た目を改善できるとして注目されています。
しかし、「仕上がりに納得できなかった」「よく調べてから治療を受ければよかった」といった声もあり、すべての方が満足できるわけではないのも事実です。
この記事では、ダイレクトボンディングで後悔しやすいケースや、反対によかったと感じるケース、向いていない症例、そして後悔しないために事前に知っておきたいポイントについて詳しく解説します。治療を検討する際の判断材料として、ぜひ参考にしてください。
ダイレクトボンディングで後悔するケース

ダイレクトボンディングは優れた治療法である一方、事前の理解が不十分なまま受けると「思っていたのと違う」と感じるケースも少なくありません。どのような場面で後悔が生じやすいのかを具体的に見ていきましょう。
色や形の仕上がりが想像と違った
ダイレクトボンディングで最も多い後悔のひとつが、色や形の仕上がりに関するものです。使用するコンポジットレジンは複数の色調から選択しますが、診療室の照明下と普段の生活環境とでは見え方が異なることがあります。
また、治療直後はツヤがあっても、時間の経過とともに表面が少しくすんで見えることもあります。
形については、隙間を埋めたり欠けた部分を補ったりする治療では、完成形のイメージを患者さまと歯科医師が共有できていないと、「もう少し自然な感じにしてほしかった」という気持ちが残ることがあります。
経年変化による着色や変色が気になった
コンポジットレジンはセラミックと比べると、コーヒーやお茶、赤ワインなどの色素が沈着しやすい素材です。日常的にこれらの飲食物を多く摂る方は、治療後しばらくすると補修した部分だけが周囲の歯と色が合わなくなってきたと感じることがあります。
喫煙習慣がある方はとくに着色が進みやすく、定期的にクリーニングを受けていても黄ばんでいく可能性があります。治療前にこうした素材の特性を十分に理解していなかった場合、後になって「もっと変色しにくい素材を選べばよかった」と後悔につながることがあります。
耐久性に関して期待とのギャップがあった
ダイレクトボンディングは、セラミックによる修復と比べると硬さや耐摩耗性の面でやや劣ります。歯ぎしりや食いしばりの癖がある方、硬いものを好んで食べる方は、数年のうちに欠けたり摩耗したりするケースがあります。
ダイレクトボンディングの平均的な寿命は管理状態にもよりますが、一般的に5〜10年程度とされており、定期的なメンテナンスが前提となる治療です。長持ちする治療法だという認識を持っていた場合、数年後にやり直しが必要になったときに落胆するかもしれません。
担当歯科医師の技術力に差があった
ダイレクトボンディングは、歯科医師の技術や審美的なセンスが仕上がりに大きく反映される治療です。コンポジットレジンを直接歯に盛り付けて形を作るため、自由度が高い反面、術者の経験や腕前によって仕上がりに差が出やすい治療でもあります。
費用が安いからという理由だけでクリニックを選んだ結果、理想の仕上がりにならなかったという声もあります。事前にその歯科医師の症例写真を確認したり、カウンセリングで具体的なイメージを共有したりすることが、こうした後悔を避けるうえで重要になります。
ダイレクトボンディングをしてよかったと思うケース

後悔のケースを紹介しましたが、一方で次のような理由でダイレクトボンディングに満足し、受けてよかったと感じている方も多くいます。
歯を削る量を抑えて治療できた
ダイレクトボンディングの大きな利点は、天然歯をほとんど削らずに治療できる点です。被せ物のように大きく歯を削る必要はなく、必要な部分だけに最小限の処置を行うだけで対応できるケースが多くあります。
健康な歯質をできる限り温存することは、長期的な口腔内の健康を守ることにも直結します。できるだけ自分の歯を残したいという考えを持つ患者さまにとって、この点は治療後の大きな満足感につながるでしょう。
短期間で審美的な改善ができた
虫歯治療後の詰め物を白くしたい場合や、軽度の歯の隙間・欠けを整えたい場合には、ダイレクトボンディングであれば短期間で対応できることが多いです。セラミック修復のように型取りや歯科技工所での製作を必要とせず、基本的には1回の通院で仕上げられます。
そのため「忙しくて何度も通えないけれど銀歯を白くしたい」という方が、短時間で見た目を改善できたと満足されるケースもよくあります。
コストを抑えながら見た目を改善できた
セラミッククラウン(被せ物)などの補綴物と比較すると、ダイレクトボンディングは費用を抑えられることが一般的です。保険適用外となる審美目的の場合でも、セラミック治療に比べれば費用負担が軽くなる傾向があります。
予算に限りがある中でできる範囲で口元の見た目を整えたいという方にとっては、コストパフォーマンスの高い選択肢です。
ダイレクトボンディングが向いていない症例

ダイレクトボンディングはあらゆるケースに対応できる万能な治療法ではありません。向いていない症例を理解しておくことが、後悔を防ぐ第一歩となります。
修復部位が広範囲
広範囲にわたる虫歯や損傷がある場合、レジンを盛る面積が大きくなるほど強度の確保が難しくなり、長期的な耐久性に課題が生じます。このようなケースでは、セラミックインレー(詰め物)やクラウンによる修復のほうが良いかもしれません。
歯ぎしりや食いしばりが強い
歯ぎしりや食いしばりが強い方は、レジンが欠けやすかったり摩耗が早く進んだりするため、ダイレクトボンディングだけでは対応が難しい場合があります。こうした方には、まずナイトガードの使用など、噛み合わせへの対策を並行することが必要です。
歯並びや噛み合わせに問題がある
歯並びや骨格的な問題が原因で歯の隙間が生じている場合も、ダイレクトボンディングで隙間を埋めても根本的な解決にならないことがあります。矯正治療が優先されるべきケースに対して審美的な処置のみを行うと、後々また隙間が生じる可能性もあるでしょう。
前歯全体の見た目をしっかり整えたい
広い範囲で前歯の見た目を整えたい方や、色の均一感・長期的な安定性を重視する方には、ラミネートベニアや、セラミッククラウンのほうが満足度は高い傾向があります。ラミネートベニアはセラミック製の薄いプレートを歯の表面に貼り付ける方法、セラミッククラウンは歯全体をセラミック製の被せ物で覆う方法です。
ダイレクトボンディングで後悔しないために

後悔を防ぐためには、治療前と治療後の両方において意識しておくべきことがあります。
歯科医師との事前カウンセリングを大切にする
治療前のカウンセリングで、どのような仕上がりを希望するかを具体的に伝えることが非常に重要です。「自然な見た目にしたい」「周囲の歯と色を合わせてほしい」「できるだけ白くしたい」など、ご自身のイメージを言葉で共有しましょう。
参考となる写真を持参するのも効果的です。
また、担当の歯科医師にダイレクトボンディングの実績や症例を確認することもひとつの方法です。審美歯科に力を入れているクリニックでは、ビフォーアフターの症例写真を公開していることも多いため、治療の質の参考にできます。
素材の特性とメンテナンスについて正しく理解する
コンポジットレジンは着色しやすく、セラミックと比べると経年劣化が起きやすい素材であることを前もって理解しておくことが大切です。治療後も定期的に歯科医院でクリーニングを受けることで着色を抑えられますが、日常生活でも注意を払いましょう。
例えば、コーヒーや紅茶の摂取などをある程度気にすることも長持ちさせるコツです。
また、補修部分に欠けが生じたり、色のズレが目立ってきたりした際など治療後に異変を感じた場合は、早めに歯科医師に相談してください。大きな問題になる前に対処できます。
セカンドオピニオンを活用する
一件の歯科医院で「ダイレクトボンディングで治療しましょう」と言われたとしても、自分の症例に本当に合う治療法なのかどうか不安であれば、別の歯科医師にセカンドオピニオンを求めることも選択肢に入れましょう。
複数の意見を聞いたうえで、より自分の状態や希望に合った治療法を選ぶことは賢明な判断です。歯の治療は後からやり直すのが難しいケースもあるため、最初の選択を慎重に行うことが重要です。
まとめ

ダイレクトボンディングは、歯を削る量を最小限に抑え、短時間・低コストで審美的な改善ができる優れた治療法です。しかし、素材の特性や歯科医師の技術による仕上がりの差、向いていない症例があることも事実です。
後悔しないためには、事前に素材の特性をしっかり理解したうえで、実績ある歯科医師と丁寧なカウンセリングを行うことが重要です。治療後も定期的なメンテナンスを続けることで、より長く満足のいく状態を保ちやすくなります。
気になることや不安なことがあれば、まずは歯科医師に相談してみてください。
ダイレクトボンディングを検討されている方は、横浜市神奈川区「横浜駅」きた西口より徒歩5分にある歯医者「横浜駅きた西口歯科」にお気軽にご相談ください。
当院では、予防歯科や虫歯・歯周病治療、根管治療やインプラント治療などさまざまな診療を行っています。ホームページはこちら、Web予約もお受けしております。公式Instagramも更新しておりますので、ぜひチェックしてみてください。
















