こんにちは。横浜市神奈川区「横浜駅」きた西口より徒歩5分にある歯医者「横浜駅きた西口歯科」です。

「歯と歯のすき間や前歯の形を整えたい」「銀歯を白くしたいけれど、大がかりな治療は避けたい」といった悩みを抱える方は少なくありません。そこで注目されているのが、歯をほとんど削らずに自然な見た目へと整えられるダイレクトボンディングという治療法です。
本記事では、ダイレクトボンディングの特徴や適応となるケース、治療の進め方、そして費用の目安までをわかりやすく紹介します。ご自身の希望に合う治療かどうか、判断する際の参考にしてみてください。
ダイレクトボンディングとは

ダイレクトボンディングとは、歯科用の高品質なコンポジットレジン(歯科用プラスチック)を歯の表面に直接盛り付け、形や色を整えていく審美治療の一つです。被せ物や詰め物のように大きく歯を削る必要がなく、症例によっては1回の治療で完了することもあります。
この治療の特徴は、歯科医師が患者さまのお口の中でレジンを少しずつ足しながら、歯の形を細かく調整していく点です。あらかじめ作られた人工物を装着するのではなく、その場で仕上げていくため、一人ひとりの歯の形やバランスに合わせた治療が可能です。
使用するコンポジットレジンには、色や透明感の異なる複数の種類があります。これらを組み合わせ、層を重ねながら仕上げることで、天然歯特有のグラデーションや自然な透明感を再現していきます。
そのため、治療した部分が周囲の歯と自然になじみ、どこを治療したのか分かりにくい仕上がりが期待できます。
また、ダイレクトボンディングは歯との接着性が高く、適切なケアを続けることで良好な状態を保ちやすい治療法です。万が一、欠けや変色が起こった場合でも、部分的な修正がしやすい点もメリットといえるでしょう。
コンポジットレジン充填とは何が違う?

ダイレクトボンディングとよく混同される治療に、保険診療で行われるコンポジットレジン充填があります。どちらもレジンを用いる点は同じですが、治療の目的や仕上がりの質には明確な違いがあります。
保険診療で行われるコンポジットレジン充填は、虫歯で削った部分をレジンで補う治療です。目的はあくまで機能の回復であり、色の再現性は必要最低限にとどまります。
一方、ダイレクトボンディングは、機能の回復に加えて見た目の改善を重視する審美的な治療です。複数の色調や透明度のレジンを組み合わせることで、天然歯の質感や透明感を細かく再現できます。
歯のすき間を整えたり形を美しく整えたりと、審美的な悩みに幅広く対応できるため、多くの歯科医院では自費診療として扱われています。
ダイレクトボンディングが行われる症状

ダイレクトボンディングは、見た目に関する幅広いお悩みに対応できる治療法です。ここでは、代表的な適応症例をわかりやすく紹介します。
歯のすき間(すきっ歯・空隙歯列)
前歯のすき間は、口元の印象を大きく左右します。ダイレクトボンディングでは、すき間の両側の歯にレジンを丁寧に盛り足し、自然なラインを保ちながらすき間を閉じることが可能です。
矯正治療のように歯を動かす必要がないため、短期間で負担の少ない治療を希望する方に人気です。
歯の欠けや摩耗
転倒や衝撃による歯の欠け、長年の歯ぎしり・食いしばりによる摩耗も適応範囲に含まれます。欠けた部分をレジンで補って元の形態に戻したり、摩耗で短くなった歯の長さを整えたりすることができます。
被せ物を作る場合と比べて、健康な歯を削る量を最小限に抑えられる点が大きな利点です。
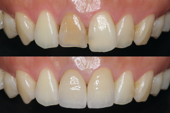
歯の変色
ダイレクトボンディングは、テトラサイクリン歯(薬の影響で変色した歯)や神経を取り黒ずんだ歯など、軽度から中等度の歯の変色にも対応できる治療法です。このようなホワイトニングでは十分な効果が得られにくいケースでも、歯の表面に薄くレジンを重ねることで、白く自然な色調に整えられます。
その他の症例
小さな虫歯を審美性を高めながら修復したい場合や、矮小歯(通常より小さい歯)、円錐歯(先端がとがった形の歯)といった形態異常にも有効です。特に、前歯のように目立つ部位では、保険診療のレジン充填よりも自然で美しい仕上がりが期待できます。
ダイレクトボンディングのメリット・デメリット

ダイレクトボンディングには多くの魅力がありますが、注意しておきたい点も存在します。治療を検討する際は、両面を理解したうえで判断することが大切です。
メリット
ダイレクトボンディングの大きな利点は、歯をほとんど削らずに治療できることです。被せ物のように歯質を大きく削る必要がなく、歯の表面にレジンを接着して形を整えるため、健康な歯を守りながら見た目を改善できます。
治療期間が短い点も魅力です。多くのケースで1回の通院で完了し、型取りや歯科技工所での製作工程が不要なため、忙しい方でも取り入れやすいでしょう。
加えて、治療後に欠けたり色が変わったりしても、部分的な修正がしやすいのも特徴です。経験豊富な歯科医師が行う場合、天然歯の色調や透明感を細かく再現でき、治療した部分がほとんど分からない自然な仕上がりが期待できます。
デメリット
一方で、ダイレクトボンディングにはいくつかの注意点もあります。その一つが、セラミックと比べると強度が劣ることです。レジンは樹脂素材のため、強い力が加わると欠けたり割れたりする可能性があり、特に、奥歯や歯ぎしり・食いしばりの癖がある方は注意が必要です。
また、レジンは吸水性があるため、経年的に変色する可能性があります。コーヒーや紅茶、赤ワインなど色の濃い飲食物をよく摂る方は、着色が進みやすくなることがあります。
さらに、仕上がりは歯科医師の技術力に大きく左右されます。色の再現や形態の調整には高度な技術が求められるため、経験豊富な歯科医師を選ぶことが重要です。
なお、自由診療のため保険が適用されず費用負担が大きくなりますが、歯を削る量が少なく短期間で治療が完了することを考えると、費用対効果は決して低くないといえるのではないでしょうか。
ダイレクトボンディングの治療の流れ

ダイレクトボンディングは、丁寧な診査・診断から始まり、細かな工程を経て仕上げていく治療です。ここでは、一般的な流れを紹介します。
カウンセリングと診査
まずはカウンセリングで、患者さまの悩みや希望を詳しく伺います。そのうえで口腔内を確認し、必要に応じてレントゲン撮影や口腔内写真の撮影を行い、ダイレクトボンディングが適応かどうかを判断します。
クリーニングと色調選択
治療の前に歯の表面をクリーニングし、汚れを取り除きます。その後、治療する歯の色調を細かくチェックし、複数のレジンの中から患者さまにあう色を選びます。
歯の表面処理とレジンの盛り付け
レジンをしっかり接着させるため、歯の表面に酸処理を施し、接着剤を塗布します。その後、選択したレジンを少量ずつ歯に盛り付け、形を整えながら特殊な光で硬化させていきます。この工程を何度も繰り返し、理想的な形態へと仕上げていきます。
形態修正と仕上げ
形が完成したら、余分なレジンを削り、表面を滑らかに整えます。その後、多段階の研磨を行うことで、天然歯のような光沢と質感を持つ美しい表面に仕上げます。最後に噛み合わせをチェックし、必要に応じて微調整を行います。
治療時間は症例によって異なりますが、1本あたりおよそ30~90分が目安です。
ダイレクトボンディングの費用

ダイレクトボンディングは自由診療のため、費用は歯科医院ごとに大きく異なります。
一般的な相場は1本あたり3万円〜6万円程度です。この幅は、治療の難易度、使用するレジンの品質、歯科医師の技術力、医院の立地や設備など、さまざまな要素によって変動します。
都市部の審美歯科専門クリニックでは比較的高めに設定されていることが多い一方、地方の一般歯科ではやや抑えた価格で提供されるケースもあります。ただし、費用だけで判断するのではなく、歯科医師の経験や症例数、仕上がりのクオリティも重要なポイントです。
なお、複数の歯をまとめて治療する場合、セット料金や割引が適用される歯科医院もあります。
まとめ

ダイレクトボンディングは、歯をほとんど削らずに自然な見た目へ整えられる審美治療です。すき間や欠け、変色など幅広い悩みに対応でき、多くの場合は1回の通院で完了します。
セラミックと比べると強度や色の安定性では劣る面もありますが、歯質を守れることや修正しやすい点は大きなメリットです。費用は1本あたり3万〜6万円ほどが一般的です。歯科医院によって幅があるので、事前に確認しておきましょう。
気になる症状がある場合は、まずカウンセリングを受けて相談してみてはいかがでしょうか。
ダイレクトボンディングを検討されている方は、横浜市神奈川区「横浜駅」きた西口より徒歩5分にある歯医者「横浜駅きた西口歯科」にお気軽にご相談ください。
当院では、予防歯科や虫歯・歯周病治療、根管治療やインプラント治療などさまざまな診療を行っています。ホームページはこちら、Web予約もお受けしております。公式Instagramも更新しておりますので、ぜひチェックしてみてください。
















