こんにちは。横浜市神奈川区「横浜駅」きた西口より徒歩5分にある歯医者「横浜駅きた西口歯科」です。

喫煙が身体に及ぼす悪影響については広く知られていますが、そのなかでも歯周病との関係性は見過ごされがちです。実は喫煙は、歯周病の発症や進行に大きく関わっており、口腔内の健康を著しく損なう要因となります。
日本では成人の約8割の方が歯周病に罹患しているといわれており、その予防や改善には生活習慣の見直しが欠かせません。
今回は、歯周病と喫煙の関係について詳しく解説します。禁煙の重要性やその他の予防策についても解説しますので、ご自身の歯や歯ぐきの健康を守るための参考にしてください。
歯周病とは

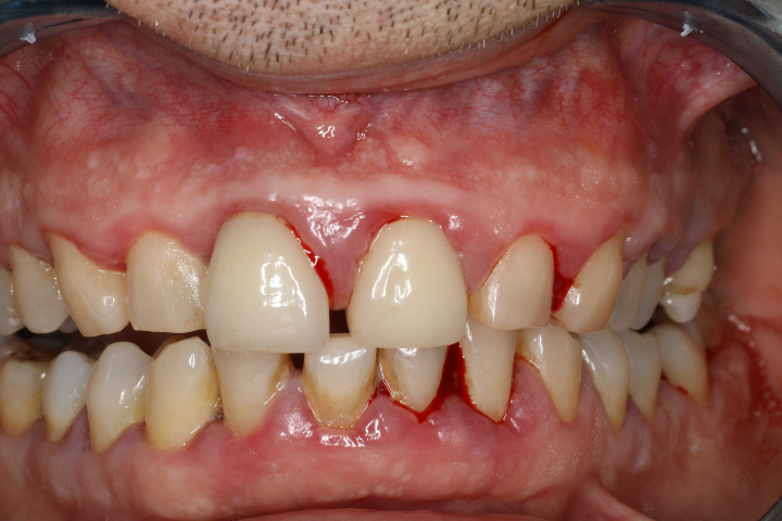
歯周病とは、歯と歯ぐきの境目にある歯周ポケットに細菌が繁殖し、歯ぐきや歯を支える骨に炎症を引き起こす病気です。初期段階では歯ぐきの腫れや出血といった症状が見られますが、進行すると歯を支える骨が溶け、最終的には歯が抜けてしまうこともあります。
歯周病は沈黙の病気とも呼ばれ、自覚症状が少ないまま進行するため、気づいたときには重度の状態にまで進行していることも少なくありません。
また、歯周病は単なる口の病気にとどまらず、糖尿病や心疾患、誤嚥性肺炎などの全身疾患とも深く関係していることが近年の研究でわかっています
喫煙が歯周病に与える影響

喫煙は、歯周病の進行を加速させ、治療の効果も大きく損ないます。以下に詳しく解説します。
喫煙は歯周病の進行を早める
たばこに含まれるニコチンや一酸化炭素は、血管を収縮させる作用があり、歯ぐきへの血流を悪化させます。その結果、歯ぐきの免疫機能が低下し、細菌に対する抵抗力が弱まります。
また、喫煙者の口腔内は乾燥しやすく、唾液の分泌量も減少するため、歯周病菌が繁殖しやすい環境が整ってしまいます。さらに、喫煙により炎症反応が鈍くなるため、出血などの自覚症状が現れにくく、歯周病が気づかないうちに進行するリスクが高くなります。
喫煙者は、非喫煙者に比べて歯周病にかかるリスクが2〜6倍に高まるという報告もあり、喫煙の影響は決して軽視できないことがわかります。
喫煙は歯周病の治療効果を低下させる
歯周病の治療には、プラークや歯石の除去、歯周ポケットの洗浄、場合によっては外科処置などが行われます。
しかし、喫煙者の場合、これらの治療が十分な効果を発揮しにくい傾向があります。これは、たばこに含まれるニコチンなどの有害物質が、歯ぐきの血流を悪化させ、治癒力や免疫力を低下させるためです。
その結果、炎症が治まらなかったり、組織の再生が遅れたりすることがあります。また、喫煙によって免疫細胞の働きも鈍るため、再感染のリスクも高まります。
実際に、禁煙した患者さんのほうが治療後の回復が早く、長期的な予後も良好であるという報告もあります。歯周病を根本的に改善するには、治療と並行して禁煙に取り組むことが重要です。
喫煙による歯周病以外のリスク

喫煙は歯周病だけでなく、ほかの口腔トラブルを引き起こしたり全身の健康にも悪影響を及ぼしたりすることがあります。
口臭や黄ばみの原因になる
喫煙習慣があると、口臭が強くなったり、歯が黄ばんだりすることがあります。たばこの煙に含まれるタールは、歯の表面に付着しやすく、通常の歯磨きではなかなか落とせません。そのため、歯が黄ばんだり、茶色く変色したりすることがあるのです。
また、喫煙により唾液の分泌量が減少し、口内が乾燥すると、細菌が繁殖して、口臭が発生しやすくなります。これらは、人間関係や仕事上のコミュニケーションにも悪影響を及ぼす可能性があります。
口腔がんのリスクが高まる
喫煙は口腔がんの最大のリスク因子のひとつです。口腔がんは舌や歯ぐき、頬の内側、喉などに発生し、進行すると大掛かりな治療が必要になります。
たばこの煙には有害物質が多く含まれており、その中には発がん性物質も存在します。喫煙を続けると、これらの有害物質が口腔内の細胞を傷つけ、口腔がんを引き起こすリスクが高まるのです。
全身疾患のリスクが高まる
歯周病は口の中だけの問題ではなく、全身の健康にも影響を及ぼします。
喫煙によって悪化した歯周病は、血管を通じて全身に炎症性物質を運び、糖尿病、心筋梗塞、脳卒中、誤嚥性肺炎などのリスクを高めるとされています。特に糖尿病とは相互関係があり、歯周病があることで血糖コントロールが難しくなり、糖尿病の悪化を招くこともあります。
つまり、喫煙は歯周病を通じて、命に関わる病気のリスクをも高めているのです。健康を守るためにも、口腔ケアとともに禁煙は非常に重要です。
歯周病を予防するために禁煙は必須?

喫煙が歯周病の重大なリスク因子であることを踏まえると、禁煙は歯周病予防において非常に重要な対策となります。
喫煙をやめることで、歯ぐきの血流が改善され、炎症の治癒力が高まります。歯周ポケットの改善効果も見込めるため、禁煙は治療の成功率を高めるだけでなく、再発の予防にもつながります。
禁煙は簡単ではありませんが、医療機関での禁煙外来を利用することで、無理なく取り組むことが可能です。歯周病の予防・改善を本気で目指すのであれば、まずは喫煙習慣を見直すことが第一歩と言えるでしょう。
歯周病を予防するために禁煙以外で大切なこと

禁煙はたしかに大切ですが、それだけでは歯周病を完全に予防することはできません。日々の口腔ケアや生活習慣を見直すことも重要です。ここでは、歯周病を予防するために禁煙以外で大切なことについて解説します。
しっかりと歯磨きをする
毎日の歯磨きは、歯周病を予防するうえで最も基本でありながら重要な習慣です。歯周病は、歯と歯ぐきの間に溜まったプラーク(細菌のかたまり)が原因で起こるため、これを確実に取り除くことが欠かせません。特に注意すべきなのは、歯と歯ぐきの境目を丁寧に磨くことです。
ただし、強くこすりすぎると歯ぐきを傷つけることがあるため、やさしい力で丁寧に磨くようにしましょう。さらに、歯ブラシだけでは届かない部分の汚れを落とすために、デンタルフロスや歯間ブラシの併用も効果的です。
忙しい日々のなかでも、朝と夜の2回、少なくとも2~3分を目安に正しい歯磨きを習慣づけることが、歯周病予防への第一歩となります。
食生活を改善する
バランスの良い食事は、歯や歯ぐきの健康に直結します。ビタミンCやカルシウムを含む食品は、歯周組織の修復や強化に役立ちます。
一方で、砂糖を多く含む食べ物や飲み物は、プラークの原因となり、歯周病を悪化させる要因になります。また、よく噛んで食べることで、唾液の分泌が促進され、口内環境の改善にもつながります。健康な体は健康な口から作られるという意識を持つことが重要です。
ストレスを管理する
ストレスは免疫力を低下させ、歯周病のリスクを高めるとされています。特に現代人は、仕事や家庭、人間関係などさまざまなストレスにさらされています。慢性的なストレスは、歯ぎしりや食いしばりの原因となり、歯周組織に過度な負担をかけることもあります。
適度な運動や趣味の時間を持つことで、精神的なリフレッシュを図りましょう。心と体の健康が整ってこそ、歯ぐきの健康も保たれるのです。
定期的に歯科検診を受ける
歯周病は初期には自覚症状がほとんどないため、気づいたときにはすでに進行していることが少なくありません。そのため、定期的に歯科検診を受けることが、早期発見・早期治療のために非常に重要です。
歯科医院では、専用の器具を使用して日常の歯磨きでは落としきれないプラークや歯石を除去します。また、定期的に歯科検診を受けていれば、もし歯周病になっていても、重症化する前に発見・対処できるでしょう。
目安としては、3〜6ヶ月に1回のペースで歯科検診を受けることが推奨されています。日々のセルフケアに加え、プロのサポートを取り入れることで、より確実に歯周病を防ぐことができるのです。
まとめ

喫煙は歯周病を悪化させる大きな要因であり、その進行を早めるだけでなく、治療の効果をも妨げます。また、歯の黄ばみや口臭といった見た目や臭いの問題に加え、口腔がんや糖尿病、心疾患などの全身疾患のリスクも高めてしまいます。
歯周病を予防・改善するためには、まず喫煙の習慣を見直し、可能であれば禁煙に取り組むことが重要です。
しかし、禁煙だけで歯周病を防げるわけではありません。毎日の丁寧な歯磨き、バランスの良い食生活、ストレス管理、そして定期的な歯科検診といった総合的なケアがあってこそ、健康な口腔環境を維持することができます。
将来の自分の歯と健康を守るために、今からできることを少しずつ始めていきましょう。
歯周病の症状にお悩みの方は、横浜市神奈川区「横浜駅」きた西口より徒歩5分にある歯医者「横浜駅きた西口歯科」にお気軽にご相談ください。
当院では、予防歯科や虫歯・歯周病治療、根管治療やインプラント治療などさまざまな診療を行っています。ホームページはこちら、Web予約もお受けしておりますので、ぜひご覧ください。あわせて公式Instagramも更新しておりますので、ぜひチェックしてみてください。
















